हिंदी

Animal Tissues - Connective Tissue

Advertisements

Topics

  • Introduction
  • Loose Connective Tissue
  • Dense Connective Tissue
  • Specialized Connective Tissue
Maharashtra State Board: Class 9

Introduction:

Connective tissues are a type of tissue that join, support, and link different parts of the body. These tissues are characterised by cells that are loosely arranged within a ground substance, which can be solid, liquid, or jelly-like. Connective tissues are the most abundant and widely distributed tissues in animals. Apart from blood cells, all connective tissues secrete structural proteins like collagen and elastin, which provide support, flexibility, and elasticity. Their primary role is to connect and support other tissues and organs in the body.

Connective tissues are classified into three main types:

  • Loose Connective Tissue
  • Dense Connective Tissue
  • Specialized Connective Tissue
Maharashtra State Board: Class 9

Loose Connective Tissue:

Type Appearance (Diagrammatic) Location Structure Function
Areolar Tissue Between the skin and muscles, around blood vessels Different types of cells loosely arranged and supported by a jelly-like ground substance and elastic fibres Supports internal organs
Adipose Tissue Below the skin and around internal organs Cells filled with fat droplets, jelly-like ground substance Insulation, supply of energy, storage of fats
Maharashtra State Board: Class 9

Dense Connective Tissue:

Type Appearance (Diagrammatic) Location Structure Function
Dense Regular Connective Tissue Ligaments, tendons Fibres are aligned in a parallel pattern, tightly packed. Provides tensile strength and support to muscles and bones.
Tendons and Ligaments At the joints Tendons: fibrous, strong, less elastic
Ligaments: strong and highly flexible
Tendons: join muscles to bones
Ligaments: join two bones to each other
Dense Irregular Connective Tissue Dermis of the skin, organ capsules Fibres are arranged in an irregular pattern to allow flexibility. Provides strength and elasticity in multiple directions.
Maharashtra State Board: Class 9

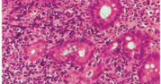
Specialised (supporting) Connective Tissue:

Type Appearance (Diagrammatic) Location Structure Function
Blood Closed circulatory system Erythrocytes, leucocytes and platelets in a liquid plasma Transport of oxygen, nutrients, hormones, and waste
Lymph All around the cells in the body Fluid oozed out of blood capillaries, containing leukocytes and liquid ground substance Protection of body from infections
Cartilage Nose, ear, larynx, trachea Cells supported by fibrous, flexible, jelly-like ground substance Lubricates the surfaces of bones, gives support and shape to organs
Bones Skeleton (a specific structure extending throughout the body) Osteocytes embedded in solid ground substance made up of calcium phosphate Supports and protects different organs, helps in movement
Hyaline Cartilage Nose, trachea, ends of long bones Smooth, glassy appearance with collagen fibres and chondrocytes in lacunae. Reduces friction between bones, provides cushioning and provides structural support.
Elastic Cartilage External ear, epiglottis Similar to hyaline cartilage but with more elastic fibres. Provides flexibility while maintaining shape.
Fibrocartilage Intervertebral discs, pubic symphysis Tough, dense, and fibrous with collagen bundles in a jelly-like ground substance. Absorbs compressive shock and provides strong support to skeletal structures.

Video Tutorials

We have provided more than 1 series of video tutorials for some topics to help you get a better understanding of the topic.

Series 1


Series 2


Shaalaa.com | Connective tissue: Structure & Function

Shaalaa.com


Next video


Shaalaa.com


Connective tissue: Structure & Function [00:16:01]
S
Advertisements
Share
Notifications

Englishहिंदीमराठी


      Forgot password?
Use app×