English

Biology 57/1/3 2023-2024 Science (English Medium) Class 12 Question Paper Solution

Advertisements
Biology [57/1/3]
Marks: 70 CBSE
Science (English Medium)

Academic Year: 2023-2024
Date & Time: 19th March 2024, 10:30 am
Duration: 3h
Advertisements

General Instructions:
Read the following instructions carefully and follow them:

  1. This question paper contains 33 questions. All questions are compulsory.
  2. Question paper is divided into five sections - Sections A, B, C, D and E.
  3. Section A - questions number 1 to 16 are multiple choice type questions. Each question carries 1 mark.
  4. Section B - questions number 17 to 21 are very short answer type questions. Each question carries 2 marks.
  5. Section C - questions number 22 to 28 are short answer type questions. Each question carries 3 marks.
  6. Section D - questions number 29 and 30 are case-based questions. Each question carries 4 marks. Each question has subparts with internal choice in one of the subparts.
  7. Section E - questions number 31 to 33 are long answer type questions. Each question carries 5 marks.
  8. There is no overall choice. However, an internal choice has been provided in Sections B, C and D of the question paper. A candidate has to write answer for only one of the alternatives in such questions.
  9. Kindly note that there is a separate question paper for Visually Impaired candidates.
  10. Wherever necessary, neat and properly labelled diagrams should be drawn.

SECTION - A
[1]1 | Questions no. 1 to 16 are Multiple Choice Type Questions, carrying 1 mark each.

Refer to the Venn diagram given below. Select the option with correct examples P, Q, and R: 

P Q R
Castor Onion Wheat
P Q R
Bean Castor Maize
P Q R
Pea Gram Barley
P Q R
Coconut Rubber Groundnut
Concept: undefined - undefined
Chapter:
[1]2

The type of bond represented by the dotted line '------' in a schematic polynucleotide chain is ______.

Hydrogen bond

Peptide bond

N-glycosidic linkage

Phosphodiester bond

Concept: undefined - undefined
Chapter:
[1]3

Lactobacillus that sets milk into curd is categorised as ______.

Cyanobacteria

Archaebacteria

Chemosynthetic bacteria

Heterotrophic bacteria

Concept: undefined - undefined
Chapter:
[1]4

Which one of the following transgenic animals is being used to test the safety of the polio vaccine?

Sheep

Goat

Pig

Mice

Concept: undefined - undefined
Chapter:
[1]5

The scientist who proposed that "embryos of all vertebrates including humans develop a row of vestigial gill slits behind the head but it is a functional organ only in fish and replaced by lungs in all other vertebrates" is ______.

Darwin

Lamarck

Ernst Haeckel

Mendel

Concept: undefined - undefined
Chapter:
[1]6

Which one of the following hormones is secreted by the human placenta that helps in the maintenance of pregnancy?

Relaxin

Human Chorionic Gonadotropin

Oxytocin

Human Placental Lactogen

Concept: undefined - undefined
Chapter:
[1]7

During an allergic reaction, the binding of antigen to IgE antibodies initiates release of ______.

Interferon

Histamine

Heparin

Acetylamine

Concept: undefined - undefined
Chapter:
[1]8

Select the incorrect match from the following:

Human Karyotype   Characters
45 + XX - Broad palm with characteristic palm crease
Human Karyotype   Characters
44 + XXY - Overall feminine development
Human Karyotype   Characters
44 + XO - Sterile females as ovaries are rudimentary
Human Karyotype   Characters
44 + XY - Normal male
Concept: undefined - undefined
Chapter:
[1]9

Restriction Endonuclease - Hind II always cuts DNA molecules at a particular point by recognising a specific sequence of ______.

Six base pairs

Four base pairs

Seven base pairs

Three base pairs

Concept: undefined - undefined
Chapter:
[1]10

The periodic abstinence by a couple for family planning should be from ______.

Day 5 to 10 of menstrual cycle

Day 13 to 15 of menstrual cycle

Day 10 to 17 of menstrual cycle

Day 16 to 20 of menstrual cycle

Concept: undefined - undefined
Chapter:
[1]11

Which one of the following bacteria were used by Stanley Cohen and Herbert Boyer to accomplish the construction of the first rDNA?

Agrobacterium tumefaciens

Mycobacterium sp.

E. coli

Salmonella typhimurium

Concept: undefined - undefined
Chapter:
[1]12

The organism that occupies more than one trophic level in a pond ecosystem is ______.

Fish

Frog

Zooplankton

Phytoplankton

Concept: undefined - undefined
Chapter:
[1]13 | For Questions number 13 to 16, two statements are given - one labelled as Assertion (A) and the other labelled as Reason (R). Select the correct answer to these questions from the codes (A), (B), (C) and (D) as given below.

Assertion (A): Indian Government has set up an organisation known as GEAC to decide the validity of GM research.

Reason (R): Genetic modification of organisms has no effect when such organisms are introduced in the ecosystem.

Both Assertion (A) and Reason (R) are true and Reason (R) is the correct explanation of the Assertion (A).

Both Assertion (A) and Reason (R) are true, but Reason (R) is not the correct explanation of the Assertion (A).

Assertion (A) is true, but Reason (R) is false.

Assertion (A) is false, but Reason (R) is true.

Concept: undefined - undefined
Chapter:
[1]14

Assertion (A): Gene flow increases genetic variations.

Reason (R): The random introduction of new alleles into a recipient population and their removal from donor population affects allele frequency.

Both Assertion (A) and Reason (R) are true and Reason (R) is the correct explanation of the Assertion (A).

Both Assertion (A) and Reason (R) are true, but Reason (R) is not the correct explanation of the Assertion (A).

Assertion (A) is true, but Reason (R) is false.

Assertion (A) is false, but Reason (R) is true.

Concept: undefined - undefined
Chapter:
[1]15

Assertion (A): The laws of our country permit legal adoption and it is as yet, one of the best methods for childless couples looking for parenthood.

Reason (R): Emotional, religious and social factors are no deterrents to the legal adoption of orphaned and destitute children in India.

Both Assertion (A) and Reason (R) are true and Reason (R) is the correct explanation of the Assertion (A).

Both Assertion (A) and Reason (R) are true, but Reason (R) is not the correct explanation of the Assertion (A).

Assertion (A) is true, but Reason (R) is false.

Assertion (A) is false, but Reason (R) is true.

Concept: undefined - undefined
Chapter:
[1]16

Assertion (A): Agrobacterium tumefaciens is a pathogen of several monocot plants.

Reason (R): It is able to deliver a piece of DNA known as 'T-DNA' to transform normal plant cells into a tumor.

Both Assertion (A) and Reason (R) are true and Reason (R) is the correct explanation of the Assertion (A).

Both Assertion (A) and Reason (R) are true, but Reason (R) is not the correct explanation of the Assertion (A).

Assertion (A) is true, but Reason (R) is false.

Assertion (A) is false, but Reason (R) is true.

Concept: undefined - undefined
Chapter:
SECTION - B (10 Marks)
[2]17

Study the diagram of a pyramid of biomass given below. Name the two standing crops that could be occupying level 'A' and level 'B in it. Name this type of pyramid and the ecosystem in which it is found.

Concept: undefined - undefined
Chapter:
[2]18

Given below is an illustration of the experiment performed by Louis Pasteur. Explain the experiment and its conclusion.

Concept: undefined - undefined
Chapter:
[2]19

Identify A, B, C and D in the table given below:

Terms Part of the plant it represents
Pericarp 'A'
'B' Cotyledon in seed of grass family
Embryonal axis 'C'
'D' Remains of nucellus in a seed
Concept: undefined - undefined
Chapter:
[2]20
Advertisements
[2]20.a

"Different varieties of cheese are known by their characteristic texture, flavour and taste, the specificity coming from the microbes used." Support this statement with the help of two suitable examples.

Concept: undefined - undefined
Chapter:
OR
[2]20.b

Identify A, B, C and D in the following table:

  Scientific name of source plant Drug Harmful effects/Body part affected
1. Papaver somniferum A Depressant/slows down body functions
2. Cannabis sativa B C
3. Erythroxylum coca Cocaine D
Concept: undefined - undefined
Chapter:
[2]21

Write the basic steps followed in the Assisted Reproductive Technologies (ART) programme to help childless couples.

Concept: undefined - undefined
Chapter:

Why Assisted Reproductive Technologies (ART) is also known as test tube baby programme?

Concept: undefined - undefined
Chapter:
SECTION - C (21 Marks)
[3]22
  1. Explain the significance of the experiment carried out by S.L. Miller. Name the scientists whose hypothesis prompted him to carry out this experiment.    (2.5)
  2. How does meteorite analysis favour this hypothesis?    (0.5)
Concept: undefined - undefined
Chapter:
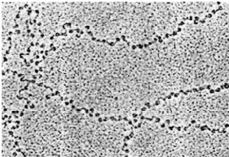
[3]23
  1. Identify the picture given below and name the tool under which it was viewed.   [1]
  2. What do the dark spots represent in the picture? Explain how and why are they formed.   [2]
Concept: undefined - undefined
Chapter:
[3]24

In a family, the father, the daughter and the son are colour blind, whereas the mother has normal vision. Do you think the son and the daughter have inherited the disease from their father? Work out a cross to justify your answer.

Concept: undefined - undefined
Chapter:
[3]25

Identify A and B in the diagram below. Explain their role in the immune system of the body.

Concept: undefined - undefined
Chapter:
[3]26
  1. Explain how it is ensured that the orchid Ophrys is pollinated by a specific species of bee.
  2. Describe co-evolution with the help of this example.
Concept: undefined - undefined
Chapter:
[3]27

Explain the mode of action of contraceptive pills taken by human females. 

Concept: undefined - undefined
Chapter:

A woman has certain queries as listed below, before starting with contraceptive pills. Answer them.

What schedule should be followed for taking these pills?

Concept: undefined - undefined
Chapter:
[3]28
[3]28.a
[1]28.a.i

What are transgenic animals?

Concept: undefined - undefined
Chapter:
[2]28.a.ii

Name the first transgenic cow and state its importance.

Concept: undefined - undefined
Chapter:
OR
[3]28.b
[2]28.b.i

Explain the convention for naming EcoRI.

Concept: undefined - undefined
Chapter:
[1]28.b.ii

With the help of an illustration only, show the action of EcoRI on a DNA Polynucleotide.

Concept: undefined - undefined
Chapter:
SECTION - D (8 Marks)
[4]29 | Questions No. 29 and 30 are case-based questions. Each question has 3 sub-questions with internal choice in one sub-question.

Read the following passage and answer the questions that follow.

Isn't it incredible that India’s land area is only 2.4 percent of the world’s total land area whereas its share of the global species diversity is an impressive 8.1 percent! However, in these estimates of species, prokaryotes do not figure anywhere.

Biologists are always keen on collecting data with respect to species diversity observed in different regions of the world. The data collected based on the survey conducted for species richness of groups of mammals in three different regions of the world is shown in the bar graph given below:

(a) Why is the species richness maximum in Region III in the bar graph?   (1)

                                              OR

(a) Why is the species richness minimum in Region I in the bar graph?   (1)

(b) Plants and animals do not have uniform diversity in the world but show rather uneven distribution. Mention what this kind of diversity is referred to as.   (1)

(c) Why is it that prokaryotes do not have an estimated number of their species diversity as seen in plants and animals? Explain.   (2)

Concept: undefined - undefined
Chapter:
[4]30

Study the diagram given below that shows the steps involved in the procedure of selecting transformed bacteria and answer the questions that follow:

(a) Identify the colony that has got transformed. Justify your answer.   (0.5 + 0.5)

(b) What are the sites in a plasmid called where ampicillin and tetracycline resistance genes are inserted? State their role in genetic engineering.   (2)

(c) Name two enzymes playing an important role in genetic engineering.   (1)

                                             OR

(c) State the role of β-galactosidase in insertional inactivation.   (1)

Concept: undefined - undefined
Chapter:
SECTION - E (15 Marks)
[5]31
[5]31.a
Advertisements
[1.5]31.a.i

Draw a labelled diagram of the embryonic stage that gets implanted in the human female leading to pregnancy.

Concept: undefined - undefined
Chapter:
[2]31.a.ii
[1]31.a.ii.1

Explain the changes that the different parts of the embryo undergo after implantation up till placenta formation.

Concept: undefined - undefined
Chapter:
[1]31.a.ii.2

Explain the changes that the different parts of the embryo undergo after implantation up till formation of three germ layers.

Concept: undefined - undefined
Chapter:
[1.5]31.a.iii
[0.75]31.a.iii.1

Write the role of placenta in pregnancy.

Concept: undefined - undefined
Chapter:
[0.75]31.a.iii.2

Mention the role of the following:

Three germ layers

Concept: undefined - undefined
Chapter:
OR
[5]31.b
[1]31.b.i

Why do plants like Viola and Oxalis give assured seed sets even in the absence of pollinators? When an orange seed is squeezed, many embryos of different shapes and sizes are observed. Why?

Concept: undefined - undefined
Chapter:
[2]31.b.ii

Mention four advantages of seed formation to angiosperms.

Concept: undefined - undefined
Chapter:
[2]31.b.iii

Draw a diagram of the mature embryo sac of an angiospermic ovule and label any four parts in it.

Concept: undefined - undefined
Chapter: [1] Sexual Reproduction in Flowering Plants
[5]32
[5]32.a
[1.5]32.a.i

Name and explain the property present in normal cells but is lost in cancer cells.

Concept: undefined - undefined
Chapter:
[1]32.a.ii

All normal human cells have genes that may become cancerous under certain conditions. Name them and explain how.

Concept: undefined - undefined
Chapter:
[2.5]32.a.iii
[1]32.a.iii.1

State the role of the following techniques in detection and diagnosis of cancer:

Biopsy and Histopathology

Concept: undefined - undefined
Chapter:
[1.5]32.a.iii.2

State the role of the following techniques in detection and diagnosis of cancer:

Magnetic Resonance Imaging

Concept: undefined - undefined
Chapter:
OR
[5]32.b
Large quantities of sewage are generated every day in cities as well as in towns and are treated in Sewage Treatment Plants (STPs) to make them less polluting. Given below is the flow diagram of stages of STP.

Study the flow diagram and answer the questions that follow:

  1.   
    1. Why is primary effluent passed into large aeration tanks?   [1]
    2. What is the 'sediment' formed, referred to as? Mention its significance.   [1]
    3. Explain the final step in the settling tank before the treated effluent is released into water bodies.   [1]
  2. Name any two organisms commonly used as biofertilisers, belonging to different kingdoms. Write how each one acts as a biofertiliser.   [2]
  3. Many patterns of inheritance deviate considerably from the pattern of inheritance as explained by Mendel. List any four such inheritance patterns and explain any three with the help of an example each.
Concept: undefined - undefined
Chapter:
[5]33
[5]33.a

Stability, as one of the properties of genetic material, was very evident in one of the very early experiments in genetics. Name the scientist and describe his experiment. State the conclusion he arrived at.

Concept: undefined - undefined
Chapter:
OR
[5]33.b

A tall pea plant bearing violet flowers with unknown genotype is given. Find the genotype by working out different crosses only by selfing the plants. Write the genotypic and phenotypic ratios of each cross shown by you.

Concept: undefined - undefined
Chapter:

Other Solutions





































Submit Question Paper

Help us maintain new question papers on Shaalaa.com, so we can continue to help students




only jpg, png and pdf files

CBSE previous year question papers Class 12 Biology with solutions 2023 - 2024

     CBSE Class 12 question paper solution is key to score more marks in final exams. Students who have used our past year paper solution have significantly improved in speed and boosted their confidence to solve any question in the examination. Our CBSE Class 12 question paper 2024 serve as a catalyst to prepare for your Biology board examination.
     Previous year Question paper for CBSE Class 12 -2024 is solved by experts. Solved question papers gives you the chance to check yourself after your mock test.
     By referring the question paper Solutions for Biology, you can scale your preparation level and work on your weak areas. It will also help the candidates in developing the time-management skills. Practice makes perfect, and there is no better way to practice than to attempt previous year question paper solutions of CBSE Class 12.

How CBSE Class 12 Question Paper solutions Help Students ?
• Question paper solutions for Biology will helps students to prepare for exam.
• Question paper with answer will boost students confidence in exam time and also give you an idea About the important questions and topics to be prepared for the board exam.
• For finding solution of question papers no need to refer so multiple sources like textbook or guides.
Share
Notifications

Englishहिंदीमराठी


      Forgot password?
Use app×