Advertisements
Advertisements
प्रश्न
Give an example of a human disorder that is caused due to a single gene mutation.
Advertisements
उत्तर
Sickle-cell anaemia is a human genetic disorder caused by a single gene mutation. In sickle-cell anaemia, glutamic acid (Glu) at the 6th position of beta globin chain (of haemoglobin molecule) is replaced by valine (Val).
संबंधित प्रश्न
Give an example of an autosomal recessive trait in humans. Explain its pattern of inheritance with the help of a cross.
A male rabbit of genotype 'AABBDDEE' is crossed with a female rabbit of genotype 'aabbddee' to produce F1 hybrid offspring. How many genetically different gametes can be produced by this F1 hybrid?
Identify the disease caused by an autosomal primary non-disjunction.
Where are the genes for cytoplasmic male sterility in plants located?
If both parents are carriers for thalassaemia, which is an autosomal recessive disorder, what are the chances of pregnancy resulting in an affected child?
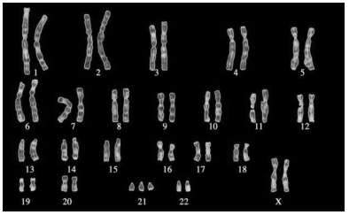
Placed below is a karyotype of a human being.

On the basis of this karyotype, which of the following conclusions can be drawn: ______
Which of the following is called as Royal disease?
Why is the frequency of red-green colour blindness is many times higher in males than that in females?
Select the correct match.
Lipoprotein lipase deficiency (LPLD)is a genetic disorder in which a person has a defective gene for lipase. This leads to high triglycerides, stomach pain, and fat deposits under the skin. It may eventually affect the liver, pancreas and may also cause diabetes. The disorder occurs if a child acquires defective genes from both parents (autosomal recessive). ERT (enzyme replacement treatment) is one of the treatments offered to patients with LPLD.
-
- What procedure is followed in ERT?
- What could be one possible drawback of ERT?
- How can LPLD be treated using Biotechnology? Elaborate.
